Dental Excellence Ltd的Anthony Laurie在伦敦中心地区成立了牙科技术实验室,以为其要求苛刻的客户群提供特殊牙齿修复体为基础业务。 Tony引入了英国工业显微镜有限公司的先进Mantis放大设备,供其技术员使用。 研究了对该级别放大设备的需求。
牙科市场
许多名人都会使用牙齿修复体,以使其外表更美;以前只有极其有限的人群才能接受这一类型治疗,但是,现在它的使用越来越广泛。 牙齿修复体包括临床需求和美容需求修复体以及事故和疾病治疗所用修复体。
近年来,由于牙科市场的压力以及技术含量较高的材料产品和生产技术的引入,牙齿修复体有了进一步发展
新型材料的出现,迫使全球牙科行业重新审视牙齿修复体中使用的材料。 今天在照片中看见的,昨天只能在脑海中想象;今天的灿烂笑容出自昨天牙科技术员的手。 技术员决定修复体的质量,而修复体的质量又确定使用者的笑容表情、咬合和咀嚼功能。
首先,患者向牙医咨询,再由牙医提供恢复理想颌骨功能或者达到美容效果的重塑方案

图1为DentalExcellence 伦敦实验室
新型材料的出现,迫使全球牙科行业重新审视牙齿修复体中使用的材料。 今天在照片中看见的,昨天只能在脑海中想象;今天的灿烂笑容出自昨天牙科技术员的手。 技术员决定修复体的质量,而修复体的质量又确定使用者的笑容表情、咬合和咀嚼功能。
首先,患者向牙医咨询,再由牙医提供恢复理想颌骨功能或者达到美容效果的重塑方案。
牙齿修复体制作工艺
牙齿修复体制作过程中,首先要准备已有牙齿或者提供口腔植入物。 准备好后,牙医采集牙齿和周围组织的图像。
为患者安装临时修复体,以保护准备修复部位;采集图像,并将其连同患者临床情况相关的所有资料送到牙科实验室。
即使在该早期阶段,也要确保采集图像无任何缺陷,这一点非常重要。 根据图像,用石头制作上下颌的模型,然后将两部分链接在一起,代表患者的咬合。
图2 检查 蜡制模型的边缘 适合性
在石制模型上,从修复体位置切开;移除并修饰准备部位。 技术员制作蜡质修复体,现在就是展现技术员艺术技巧的时刻。
石蜡用于制作修复体框架;该框架带瓷面,连接至承载牙齿或者具体的植入物。 齿冠或者齿桥被永久结合或者粘合到位,这是技术员、牙医和患者都会感到高兴的事情。
某些牙科技术员和牙医也愿意接受质量较差修复体,而此类制品也可以交付和安装。 但是,很明显,齿冠配合较差,会造成牙龈后退,将较黑边缘显露出来并会积累腐烂物。
图3 不合适的齿冠
这些修复体的临床脱落现象可能仅在安装后数个月内就显现出来并被牙医发现。
临床安装不合适,表现在牙齿卫生情况较差,以及安装后不久又需要牙齿整治。 牙齿修复体制作技术差和安装不合适可能造成医疗问题,而且在患者身上看起来也不美观。
为此,应在制作过程中的每一个阶段,对修复体的质量进行检查,以确保制作工艺能提供优质的修复体,以及保证高质量的临床适合性,从而实现美观以及较长的使用寿命。
Tony Laurie描述了他的理念:
“任何情况下我的技术员都要对我们修复体的结构和适宜性进行放大检查。
“我们在制作过程中的每一个阶段都会进行检查;正是因为这种对细节的注意,以及Mantis系统提供的优质放大图像,使得我们能够检测并及早修复所有细小的问题。
“我们确定,制作工艺的每一个步骤中我们都以获得最好的修复体以及适宜性为目标。
如果不合格,会付出巨大代价。

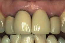
图4 不合适的30岁 齿冠
如果修复体确实有制作问题,那么随着制作工艺每个阶段的进行,可能出现累积效应,错误可能被放大。 如果一个修复体临床上最好的情况是成为次品,最差的情况是不合格品,那么,增加该修复体的价值,可能对于业务而言将付出巨大代价。
图4表示四个前牙瓷面齿冠,其中三个已经达到30岁。 很明显,齿冠配合较差,会造成牙龈后退,将较黑边缘显露出来并积累腐烂物。

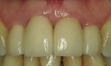
图5 新型修复体
图5为同一患者新安装了齿冠 牙龈看起来非常健康而且美观效果也极好。
Tony Laurie简单地说:
“制作工艺每个阶段,每位技术员都检查了相关工作,使得我们的产品无论从技术上还是美学上都具有较高质量标准。 使用Mantis®是一项成功的促成技术,让我们所有技术员都很开心。
“他们知道优质与劣质的区别,使用Mantis,他们可以看见这种区别。”
DentalExcellence公司背景
DentalExcellence是专业的优质修复和植入技术实验室以及一流的培训基地,由Anthony Laurie成立,致力于利用CAD-CAM、激光、感应铸造和数字技术等设计、制作牙齿修复体。 DentalExcellence还能为业内提供高水准的培训。





